Have you heard about dental implants and want to know more?
Whenever possible, teeth should be kept, because the natural root is the best support for the tooth and will always be better than an implant.
However, there are occasions when it is interesting to use dental implants in order to restore the health, oral aesthetics, comfort and functionality of the mouth.
What are dental implants?
Dental implants are pieces of pure titanium that are placed where the original dental roots should be, which allows us to place an artificial, aesthetic and functional piece in the place where the natural piece used to be. At Clínica Dental Asensio the price of the first implant visit is completely free and includes a complete check-up (with X-ray), diagnosis and implant treatment plan. Four implants can also be inserted to support an entire dental arch (ALL-ON-4 technique).
After a personalised study by the specialist dentist at Clínica Dental Asensio, the dental implants are usually inserted in a very brief intervention with very mild local anaesthesia, as it is almost painless.
We insert the dental implant in a hole made for its exact size, an operation that can be carried out in the dental surgery itself and, in the vast majority of cases, does not require subsequent suturing of the implant. It is a technique with which there is hardly any inflammation or subsequent discomfort and which can be carried out immediately after the extraction of a diseased tooth or root.
The patient always leaves with the teeth in place on the same day.
Although it may seem strange, in most cases the post-operative period for implants is less uncomfortable than other more minor operations in dentistry. If there are no problems, a dental implant does not hurt, it can only cause discomfort during the healing period of the implants.
At the Asensio Dental Clinic we only use high-end implants, with excellent results and impeccable aesthetics.
The functional reasons for placing the dental implant (s) are that, when a tooth disappears, the ability to chew is reduced, the articulation is affected, the bite and the space between the teeth is modified, the self-cleaning of the teeth (autolysis) is made difficult, etc. Our patients must be clear that they will not only achieve a healthy mouth but also an aesthetic smile.
The revision visits at Clínica Dental Asensio in Valencia for the maintenance of dental implants are essential to assess their condition and the health of the supporting tissues and to guarantee the long-term success of the implantology treatment.
In patients who have lost single teeth, only one dental implant is performed, the most basic implantology procedure. This implant takes over the function of the tooth root. This helps the bone to maintain its function and not atrophy.
If several teeth are missing, they can be replaced with dental implant-supported bridges , i.e. two implants are placed to support a fixed structure with the artificial teeth. This option is only valid if several teeth are missing together.
At Clínica Dental Asensio we specialise in implant solutions for complex cases with little bone in the jaws, offering advanced rehabilitation techniques, especially in cases of severe bone atrophy.
Ask our dentist how to achieve a natural smile that reinforces your confidence. At Clínica Dental Asensio advanced dentistry solutions can give you back your smile.
If you would like guidance on the
price of dental implants
you can visit our page How much do dental implants cost?
3D dental printing for dental implant prosthetics
To achieve maximum precision and avoid discomfort for our patients, we have incorporated the CEREC 3D dental scanning and printing system, which allows us to create an exact reproduction of the teeth to be replaced without using pastes or plaster to make a mould, saving discomfort and visits to clients and achieving greater accuracy and speed.
All on 4 in Valencia
Innovative Implantology technique, carried out only by highly qualified professionals, in which extractions are carried out, infection is eliminated, implants and teeth (from both arches) are placed in a fixed manner and without palate, on the same day and WITH ONLY 4 IMPLANTS per arch (all on 4 is the translation of all on 4). Hundreds of thousands of patients all over the world already enjoy this advanced all on 4 technique with which, with the use of the right implants, in addition to saving money and time, psychological benefits are obtained due to the radical change that the patient feels as soon as they leave the clinic. The results in terms of aesthetics, strength and durability are exceptional.
Depending on the requirements of each case, we work with Klockner or Nobel Biocare implants, both of which are top of the range and prestigious in the market (Klockner implants have been used in more than 30,000 operations with a survival rate of more than 99.5% over 10 years).
Prosthesis on dental implants
Dental prostheses cover a wide field within dentistry that aims to replace missing teeth or rehabilitate the aesthetics and function of those who have lost them. The appearance of implants in oral medicine increased the possibilities of treatment, thanks to the contribution of new pillars for the prosthesis, and to the fact that it gave fixed prosthesis options to patients without teeth or partially edentulous patients who no longer had them.
At Clínica Dental Asensio we study each case individually and carry out an adequate planning for each patient and their specific needs. In the first instance, it will be necessary to identify whether the patient wants a fixed prosthesis type restoration on implants or a removable restoration, as long as their problems are solved.
A first visit is always carried out to diagnose and establish an individualised treatment plan.
REMOVABLE PROSTHESES: OVERDENTURES
Overdentures on implants are a type of prosthesis that can be removed by the patient (they can be put in and taken out). Their main indications are for patients without teeth.
These prostheses need a minimum of 2 implants, the most advisable being the placement of 3, 4 or 5 implants, because each one is a point of attachment.
Hybrid prostheses
They are fixed for the patient, but removable (removable) for the dentist in a simple way. They are indicated for patients without teeth who do not want to wear a removable prosthesis. 4 to 6 implants are used to support a screw-retained prosthesis through holes or chimneys, allowing easy manipulation by the dentist.
The material used is usually high-strength resin with a metal framework connecting the implants, all forming a single block.
Fixed prostheses: complete fixed rehabilitation.
This is a fixed prosthesis , used in patients without teeth or partially edentulous. Its main advantage is on a psychological level for the patient as it is more similar to natural dentition.
In order to create a fixed prosthesis in a toothless patient, 4 to 10 implants are required. In this way the biomechanical behaviour will be ideal.
Each case has different requirements, which are influenced by habits, the quantity and quality of the bone, the size of the dental implants, the shape of the arch, etc.
Frequently asked questions
No. This is the main advantage of the treatment. Dental implants not only support the prostheses, but also prevent them from moving, they do not have to be removed from the mouth for cleaning and, as the teeth are supported by the implants, they do not put pressure on the gums and do not bother patients.
Implants are designed to last a lifetime, but their durability depends a lot on how they are cared for, the patient’s hygiene and compliance with the check-up schedule. In our clinic we use the best implants and the most advanced techniques so, with proper maintenance and if no complications arise, implants will last a lifetime.
The procedure is simple, the same day that the dental implants are placed, the patient goes home with a provisional denture, with which he/she can lead a practically normal life, and after about a month and a half (depending on how long it takes for the implants to settle and heal) the definitive prosthesis is placed on the implants. During this period it is very important to follow all the hygiene and maintenance advice, as the implants must be cared for just as much, if not more, than the teeth.
Titanium is a highly bio-compatible metal with physical properties similar to steel, as it has a high strength and very low corrosion, which makes it ideal for dental implants. Today, almost 95% of dental implants are made of titanium.
Different clinical investigations have shown that, in many cases, 4 implants specially placed with a specific angulation are very effective in supporting a complete fixed prosthesis instead of 5, 6 or 8 implants. On rare occasions, when the bone is soft or very worn, more will be needed. This situation is exceptional and is almost always in the upper jaw. In our clinic we have shown that 4 implants give good stability and save our patients unnecessary surgery, time and money.
In most cases the implants are placed on the same day as the surgery with a provisional prosthesis and after a month and a half the fabrication of the definitive prosthesis can begin.
After the implant surgery, the patient can eat solid food. At the clinic we will tell the patient which foods to avoid. We are talking about a modified diet defined as foods that can be cut with a fork. This modified diet must be used until the patient receives the definitive prosthesis.
On the day of the surgery we will place the implants and a long-lasting temporary fixed prosthesis. This prosthesis is fully functional, the patient can speak, eat, play sports… their normal activities without worrying about their teeth. Once the gum has healed and the implants are stable, a final prosthesis is fabricated. This prosthesis will be carefully adapted to the implants and adjusted to have a correct bite.
Ask and get detailed information without obligation at our clinic, we can help you find the most advanced solution with implants.
It has been demonstrated that dental implants do not generate any distortion in the image of an MRI. Titanium is a non-magnetic material, so it is compatible with this type of test, but it is always advisable to inform the doctor who is going to perform the test of the existence of the implants.
It is very important that the patient does not eat hard foods for the first two months (this does not mean that they have to eat mashed food, but they should avoid foods such as nuts, raw carrots, hard or very toasted bread, etc.) to avoid moving the implants. It is also important that you are meticulous and consistent with your dental hygiene and that you attend the scheduled check-ups of your implants.
There are certain times when we should wait to have implants placed. As with other surgical procedures, implants are contraindicated in people who have had a heart attack or stroke less than 6 months ago, in people who have had a heart valve prosthesis or organ transplants for less than 6 to 12 months, in patients undergoing cancer treatment, in people with alcohol or drug addiction problems and in pregnant women.
In some cases, problems may arise after the implants have been inserted, usually due to a post-operative infection, a problem during surgery or poor hygiene. In most cases these problems are solved by following established corrective procedures.
If the problem arises in more advanced stages, it is usually due to occlusal overload, peri-implantitis or bacterial infections.
If necessary, one or more dental implants can be removed. It is very important that the operation is performed by a specialist surgeon in order to preserve as much bone as possible after implant removal.
To manage the anxiety of some patients, conscious sedation is also available. This is an inhalation gas that immerses the patient in a state of well-being, relaxation and tranquillity that completely relaxes the patient during implant placement.
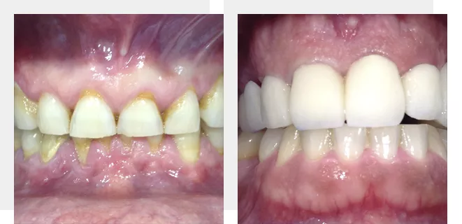
Before and after

Implantology case
All on 4

Implantology case
All on 4

Implantology case
All on 4

Implantology case
All on 4

Implantology case
All on 4

Implantology case
All on 4

Implantology case
All on 4

Implantology case
All on 4

Implantology case
All on 4

Implantology case
All on 4

Implantology case
All on 4 upper

Implantology case
All on 4

Implantology case
Full upper and lower arch replacement
We are waiting for your call! Remember that healthy and attractive teeth are fundamental to our health and wellbeing at all levels.
At Clínica Dental Asensio we only place high-end implants and the surgeries are always carried out by specialists in periodontics and implants.
Clínica Dental Asensio, advanced dentistry, the best option for your dental implants in Valencia.
96 382 55 77
